Dr. Christians
Fachzahnärztin
für Kieferorthopädie
Bessunger Straße 30–3264285 Darmstadt
(06151) 1016700 fon





Welche kieferorthopädischen Notfälle gibt es, und was ist zu tun?
Druckstellen oder gebrochene herausnehmbare Spangen, lockere Brackets, gelöste Bänder, verlorene Gummis, oder stechender Draht eines gelösten Bogens können Beschwerden auslösen, gegebenenfalls sogar Verletzungen im Mund hervorrufen. Bitte vereinbaren Sie in diesen Fällen kurzfristig einen Termin, damit wir schnellstmöglich helfen können. Außerhalb unserer Sprechzeiten erreichen Sie den zahnärztlichen Notdienst, der in der Regel kleinere kieferorthopädische Notfälle versorgen kann.
Herausnehmbare Zahnspange
Druckstellen
Nach dem Einsetzen einer herausnehmbaren Apparatur kann es entweder an der Mundschleimhaut zu Druckstellen kommen, oder die Zähne werden druckempfindlich. Wenn es an den Zähnen drückt, bedeutet dies, dass die Zähne bewegt werden. In diesem Fall tragen Sie die Zahnspange bitte weiter. Sie brauchen nicht vorbeikommen.
Sollte es allerdings am Zahnfleisch drücken, vereinbaren Sie bitte einen Termin mit uns, damit die Druckstelle entfernt werden kann.
Druckstellen treten meist infolge eines Zahnwechsels auf. Hier empfiehlt es sich, das Tragen der herausnehmbaren Zahnspange am betreffenden Tag auszusetzen, und kurzfristig einen Termin zu vereinbaren, damit die störende Stelle entfernt werden kann.
Bruch
Sollte an Ihrer herausnehmbaren Apparatur etwas abbrechen oder die ganze Apparatur zerbrechen, melden Sie sich bitte umgehend in der Praxis. Manchmal kann die Apparatur weiter getragen werden, wenn z.B. nur ein Draht gebrochen ist. Dieses sollte aber mit der Praxis abgesprochen sein.
Verlust
Zähne können sich innerhalb weniger Tage wieder in die alte Position zurückbewegen, deshalb ist der schnellstmögliche Ersatz einer verlorenen Spange besonders wichtig. Bitte melden Sie sich umgehend in der Praxis, damit wir eine neue Spange herstellen können.
Festsitzende Zahnspange
Druckstellen
In der Wange oder an den Lippen können Aphthen entstehen. Die Brackets der festen Zahnspange besitzen kleine Flügelchen zum Befestigen des Drahtes. Diese rauen Stellen reiben in der Anfangszeit an der weichen Wangenschleimhaut und führen zu offenen Stellen.
Bitte in diesen Fällen das mitgegebene Wachs auf das Bracket kleben, und solange erneuern und tragen, bis die wunde Stelle verheilt ist.

In den ersten 24 bis 48 Stunden nach dem Wechsel des Drahtbogens einer festen Zahnspange treten normalerweise leichte Schmerzen auf. Die Zahnspange übt Druck auf die Zähne aus, damit diese sich in die gewünschte Position bewegen. Der auftretende Schmerz ist normal, und sollte sich mit der Zeit abschwächen. In der Zwischenzeit kann es hilfreich sein, weiche Kost zu essen, die Mundschleimhaut mit einer kalten Kompresse zu kühlen, oder schmerzlinderndes Gel aufzutragen.
Bracket gelöst

Hat sich ein Bracket gelöst, nehmen Sie bitte kurzfristig Kontakt mit uns auf, damit das Bracket wieder eingegliedert werden kann. Unser Kaumuskel (Musculus masseter) ist der stärkste Muskel im menschlichen Körper. Die auftretenden Scherkräfte beim Kauen sind so groß, dass die sorgfältig aufgeklebten Brackets einer festen Zahnspange durchaus einmal abscheren können, insbesondere wenn Brot, Brötchen, Karotten, Äpfel und andere harte Lebensmittel mit den Schneidezähnen zerkleinert werden. Daher empfiehlt es sich, solche Lebensmittel mit Messer und Gabel zu zerteilen und die mundgerechten Stücke anschließend mit den Seitenzähnen weiter zu zerkleinern.
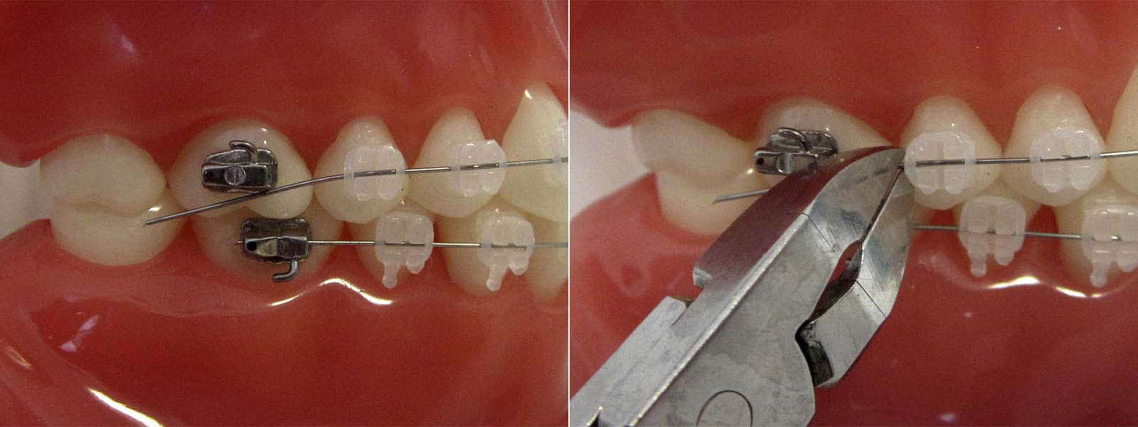
Bogen sticht, oder hat sich gelöst

Ein gelöster Bogen kann manchmal stechende Schmerzen verursachen und die Schleimhaut im Mund verletzen. Betten Sie das gelöste Drahtende in ein Kügelchen Wachs ein, das wir Ihnen für diesen Fall mitgegeben habe. Bitte zögern Sie nicht, einen kurzfristigen Termin mit uns zu vereinbaren.
Ein gelöster Bogen lässt sich manchmal wieder mit den Fingern in die Brackets drücken.
Verlorene Gummis
Verlorene Gummis führen in der Regel dazu, dass die betroffenen Zähne nicht mehr so bewegt werden, wie sie sollen. Bitte vereinbaren Sie kurzfristig einen Termin, damit wir die Gummis wieder befestigen können.
Retainer
Gelöst
Hat sich ein Retainer komplett gelöst oder sind einzelne Zähne vom Retainer gelöst, z.B. durch Abnutzung, Fall oder Schlag, vereinbaren Sie bitte umgehend einen Termin, damit der Retainer ersetzt oder wieder befestigt werden kann. Wenn noch eine Nachtspange vorhanden ist, bitte diese vorübergehend tragen, um eine Zahnverschiebung zu verhindern.
Kontakt
Praxis Dr. ChristiansBessunger Straße 30–32
64285 Darmstadt
(06151) 1016700 fon
kfo-christians@gmx.de
Sprechzeiten
montags bis donnerstags
09:00 – 12:00 Uhr
13:30 – 17:00 Uhr